先日、89歳でお亡くなりになったモンタニエ博士は、遺言を残しています。
彼は、エイズのときには権力者のナレーションに加担しましたが、今回のコビット詐欺には批判の目を向けていました(新型コロナウイルスは人工ウイルスだと主張)。
彼の遺言は、遺伝子ワクチンとヒトの狂牛病(プリオン病)である「クロイツフェルト・ヤコブ病(Creutzfeldt–Jakob disease: CJD)」との関連性を調べろということでした。

“彼ら”は先回りして、フランスの狂牛病やクロイツフェルト・ヤコブ病(CJD)などのプリオン病の研究所を閉鎖しました。2021年7月のことです(過去のニュースレターや拙著でお伝えしました)(『Citing Safety, French Institutions Temporarily Halt Prion Research』The Scientist, Jul 28, 2021)。

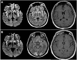
2021年には、ファイザーの遺伝子ワクチン2回目接種の1週間後に急に歩行困難、記憶障害、不穏・行動異常、頭痛を発症して亡くなった64歳の女性の症例報告がありました(Sporadic Creutzfeldt-Jakob Disease After Receiving the Second Dose of Pfiz Dose of Pfizer-BioN er-BioNTech COVID-19 V VID-19 Vaccine. HCA Healthcare 2021)。解剖の結果、クロイツフェルト・ヤコブ病(CJD)と診断されています。

遺伝子ワクチンとクロイツフェルト・ヤコブ病(CJD)などのプリオン病との関連は、拙著『ハチミツ自然治療の最前線』でエビデンスをご紹介しましたが、その後もワクチン接種後の発症報告がなされています(Creutzfeldt-Jakob Disease After the COVID-19 Vaccination. Turk J Intensive Care DOI:10.4274/tybd.galenos.2021.91885)。

モンタニエ博士たちが主張しているのは、人工ウイルスや遺伝子ワクチンのスパイクタンパク質の遺伝子の中に、プリオンの遺伝子が挿入されて設計されているということです(Towards the emergence of a new form of the neurodegenerative Creutzfeldt-Jakob disease: Twenty six cases of CJD declared a few days after a COVID-19 “vaccine” Jab. May 2022. DOI:10.13140/RG.2.2.14427.03366)。
しかし、わざわざプリオン(遺伝子ワクチンに含まれる)を外から注入あるいは、体内で産生しなくても、遺伝子ワクチンによる脳の炎症で脳内に異常タンパク質(アミロイド、異常プリオンと呼んでいるもの)が集積し、自動的に増えていくことでクロイツフェルト・ヤコブ病(CJD)のようなプリオン病が成立します(詳しい機序は、拙著『慢性病の原因はメタボリック・スイッチにあった!』)。

フランスでは、1992~2019年までの27年間で、クロイツフェルト・ヤコブ病(CJD)の発症例は、わずか28症例でした。しかし、2019年の遺伝子ワクチン接種開始以降は、一年間ですでに26症例にのぼっています。

=====================================
🌟健康に不思議の健康あり、病気に不思議の病気なし
『慢性病の原因は「メタボリック・スイッチ」にあった!病はなぜ治らないのか?』
🌟ポスト総ワクチン時代の処方箋
🌟『ポスト総ワクチン時代の処方箋〜ハチミツ自然治療の最前線』
●アマゾン予約の方はこちらから
🌟『ウイルスは存在しない』上巻
●アマゾン予約の方はこちらから
●アマゾン不買運動の方はこちらから
🌟『ウイルスは存在しない』下巻
●アマゾン予約の方はこちらから
●アマゾン不買運動の方はこちらから
🌟『今こそ知るべき!ワクチンの真実』はこちらから
🌟現代人の必須の知識!
『現代医学と優生思想』講義はこちらから
🌟お知らせです。
今週(2020年5月第2週)からインスタライブというものに参加します。
あまり得意の分野ではないのですが、隔週で一般的に疑問に思われる様なトピックを中心に有馬陽子先生と雑談形式でお話しする予定です。
ご興味のある方は、覗いてみてください。
@ kosmotropic.2020
もちろん、遺伝子ワクチン接種後の有害事象は過少申告ですから、遺伝子ワクチンによるクロイツフェルト・ヤコブ病(CJD)の発症は30倍以上になっているでしょう。

この極めて稀な脳の病気の急増の原因を数字は雄弁に物語っています(^_−)−☆。