新型コロナウイルスに対する遺伝子ワクチン(mRNA)の1回接種では何も起こらなかった場合でも、2回目接種後に有害事象(副作用)が出るケースが多いです。

先月も米国で健康だった13歳の少年が2回目のファイザーの新型コロナ遺伝子ワクチン接種3日後に亡くなりました。剖検の結果、心筋炎が認められています(『Michigan boy dies 3 days after getting Pfizer COVID-19 vaccine, CDC is investigating』Detroit Free Press, Jul 2 2021)。

脳・神経系の有害事象では、これまで多発性硬化症、重症筋無力症、ギラン・バレー症候群、脳炎、脳卒中などが報告されています(SARS-CoV-2 vaccines are not free of neurological sideeffects. Acta Neurol Scand. 2021;144(1):109–110)。
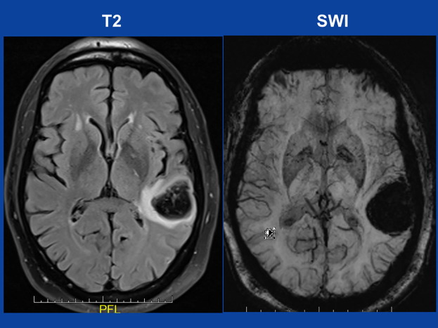
今回、新型コロナ遺伝子ワクチンの2回目接種7日後に脳内出血が起こった症例が報告されましたのでご紹介いたします(Aphasia seven days after second dose of an mRNA-based SARS-CoV-2 vaccine. Brain Hemorrhages In Press, Corrected Proof, Available online 24 June 2021)。

症例は52歳男性。既往歴に心筋梗塞と高血圧があります。
ワクチン接種7日後に、突然文字が読めなくなり、失語(motor aphasia with paraphasias)になりました。
入院後、左脳内出血が認められました。

入院時、高血圧(170/98 mmHg)および凝固系の軽度亢進が認められたようです(slightly elevated D-dimer)。
新型コロナ遺伝子ワクチン接種によって、血管に炎症が起こることで高血圧になることはすでに報告されています(COVID vaccination center. Stage III hypertension in patients after mRNA-based SARS-CoV-2 vaccination. Hypertension. 2021 Jun;77(6):e56–e57.)。

さらに過去記事でもお伝えしたように、米国の産婦人科のドクターもファイザーの遺伝子ワクチンによって血小板減少症性の血栓症から脳内出血で亡くなりました。
日本の遺伝子ワクチン接種後の脳内出血死亡症例も複数報告されています。
新型コロナ遺伝子ワクチンでは、脳血栓症が多く起こることが知られていますが、さらに脳内出血に進展する例も散見されます(Fatal cerebral haemorrhage afterCOVID-19 vaccine. Tidsskr Nor Laegeforen. 2021;29:141)。

この論文では、遺伝子ワクチンと脳内出血の因果関係は可能性があるという表現にとどまっていますが、上記から脳内出血に影響を及ぼしたことは言えるのではないでしょうか。
すでに動脈硬化が進行している人には、新型コロナ遺伝子ワクチンは致死的な有害事象を引き起こす可能性があります。
1回目の接種で何もなかったからといって、2回目接種でも無事だとは限りません。

むしろ1回目でプライミングされた結果、2回目では炎症反応がより大きく出てしまうことにもなりかねないことが実際の結果(有害事象)に反映されています。

十分な経過観察を設けた臨床試験のエビデンスもない段階で、遺伝子を含めたナノ粒子を2回も接種するという“暴挙(暴力といった方が適切)”の結果がこれからも噴出することは歴史が証明することでしょう(^_−)−☆。
=====================================
🌟『ウイルスは存在しない』上巻
●アマゾン予約の方はこちらから
🌟『ウイルスは存在しない』下巻
●アマゾン予約の方はこちらから
🌟『今こそ知るべき!ワクチンの真実』はこちらから
🌟現代人の必須の知識!
『現代医学と優生思想』講義はこちらから