「見過ごしがちな冬の脅威!『加湿器肺』に潜む危険」
寒い冬、インフルエンザやマイコプラズマ肺炎といった感染症が猛威を振るう時期。しかし、もし「ウイルスは存在しない」「病原体仮説が過ち」としたら、風邪の原因とは一体何なのでしょうか?
実はその一因として、多くの家庭で使われている「加湿器」に潜む危険が挙げられます。特に超音波式加湿器が、見過ごせない健康リスクを引き起こすことをご存知でしょうか?

「加湿器肺」とは何か?
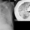
加湿器肺(Humidifier Lung, HL)は、過敏性肺炎(Hypersensitivity Pneumonitis, HP)の一種とされる疾患で、肺にアレルギー反応を引き起こします。この症状の原因は何なのでしょうか?
加湿器から発生するアレルゲンには、以下のようなものがあります:
• カビ毒
• エンドトキシン(内毒素)
• 環境化学物質
• 消毒剤
実際、これら200種類以上の物質が加湿器肺炎に関連していると報告されています。

参考文献
Humidifier-Related Lung Injury Leading to Hypersensitivity Pneumonitis: A Case Report. Cureus. 2024 Sep 29;16(9):e70448.
Extrinsic allergic alveolitis caused by misting fountains. Respir Med. 2005;99:943–947.
Humidifier lung: possible contribution of endotoxin-induced lung injury. Intern Med. 2002;41:1179–1182.
Clinical and radiological characteristics of ultrasonic humidifier lung and summer-type hypersensitivity pneumonitis. Respir Med. 2020;174:106196.
A cluster of lung injury cases associated with home humidifier use: an epidemiological investigation. Thorax. 2014;69:703–708.
Humidifier disinfectant consumption and humidifier disinfectant-associated lung injury in South Korea: a nationwide population-based study. Int J Environ Res Public Health. 2021;18
Hypersensitivity pneumonitis: antigen diversity and disease implications. Pulmonology. 2019;25:97–108.
韓国で起きた衝撃の事件
2006年から2011年にかけて、韓国では加湿器用消毒剤による肺疾患が大きな問題となりました。436名もの患者が発生し、原因はポリヘキサメチレングアニジン(PHMG)やオリゴ(2-(2-エトキシ)-エトキシエチル)グアニジンクロライド(PGH)といった化学物質でした。

これらの成分は、加湿器の消毒剤として一般的に使用されていましたが、肺を著しく傷害することが分かりました。
参考文献
Health Effects Associated With Humidifier Disinfectant Use: A Systematic Review for Exploration. J Korean Med Sci. 2022 Aug 12;37(33):e257.
身近に潜むリスク
加湿器に水道水を使用すると、水道水に含まれる塩素やフッ素化合物(PFAS)、鉛などの毒性物質が放出されるリスクがあります。さらに、超音波加湿器や空気清浄機ではバクテリアが破壊され、内毒素が空気中に広がることも。

私自身も、冬場のホテルで加湿器の塩素臭に不快感を覚えたことがありますが、これは塩素などの化学物質の放出が原因だったのです。
風邪の原因は「加湿器」かも?
ナノ粒子による大気汚染や、加湿器から放出される微粒子状の化学物質。これらが冬場の風邪の隠れた原因である可能性は見逃せません。

加湿器肺炎の実態は、「感染症とは何か」を示唆してくれています。