イギリスの政策転換については、今のところ世界は沈黙状態です。
この後の展開をどう予測するかで、その人の知的能力が問われることになるでしょう。
さて、今回の強制遺伝子ワクチンには、大きく分けて3種類あります。

ファイザー、モデナのmRNAのナノ粒子を使用したもの、アストラゼネカ、J&Jのアデノウイルスを使用したDNAのナノ粒子を使用したもの、そしてシノファームの従来のウイルスそのものを使用したものです。
これにノババックスのスパイクタンパク質を抗原としたものも最近オーストラリアなどで認可が降りています。
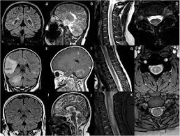
従来のワクチン接種後に、麻痺、感覚障害、視力障害など多彩な症状を呈する脳神経系疾患(脱髄疾患、demyelinating syndromes)が起こることは、拙著でもお伝えしました。


インフルエンザウイルス、子宮頸がん、肝炎ウイルス、麻疹、狂犬病ウイルスなどのワクチンでその発症例が報告されています(The spectrum of post-vaccination inflammatory CNS demyelinating syndromes. Autoimmun. Rev. 2014 Mar;13(3):215–224)。

これらは、私たちの脳神経を取り巻く「髄鞘」という絶縁体の役割を持つ組織に急性および慢性の炎症が起こる病態です。

今回、上記3種類の遺伝子ワクチン接種後の代表的な脱髄疾患(多発性硬化症(MS: multiple sclerosis)、横断性脊髄炎(TM: transverse myelitis)、急性散在性[播種性]脳脊髄炎(acute disseminated encephalomyelitis (ADEM))、視神経脊髄炎スペクトラム障害(neuromyelitis optica spectrum disorder (NMOSD))、抗MOG(抗ミエリンオリゴデンドロサイト糖蛋白質)抗体関連疾患(myelin oligodendrocyte glycoprotein antibody disease (MOGAD)))の発症例を調べた研究が報告されています(A systematic review of cases of CNS demyelination following COVID-19 vaccination. J Neuroimmunol. 2022 Jan 15; 362: 577765)。

その結果、発症数は、mRNA>DNA>ウイルス抗原の順に多いことが明確になりました。


これらの脱髄疾患は、自己免疫疾患に分類されています。

つまり、慢性炎症を体内で引き起こす効果は、やはりファイザー、モデナが最も高いということになります。

以上の結果から、ファイザー、モデナの高濃度バッチに当たった人に死亡や重症例が最も多く出たと言えるでしょう。
ウイルスそのものを抗原とした従来のワクチンの方がまだマシとは言うものの・・・・

アフリカでは、またポリオワクチン由来のポリオのアウトブレイクが起こっています(Update on Vaccine-Derived Poliovirus Outbreaks — Worldwide, January 2020–June 202. CDC, Morbidity and Mortality Weekly Report (MMWR), December 10, 2021 / 70(49);1691–1699)。
原理そのものが生命現象に反するワクチンという“宗教”を強制されるのは、明らかな思想の自由を奪う人権侵害です。

昨年から、打たなくてはいけない状況で、どのワクチンを打てばより副作用が少ないのかというご質問をたくさん頂きました。
以上のエビデンスをご参考にして頂ければと思います。

=====================================
🌟ポスト総ワクチン時代の処方箋
🌟『ポスト総ワクチン時代の処方箋〜ハチミツ自然治療の最前線』
●アマゾン予約の方はこちらから
🌟『ウイルスは存在しない』上巻
●アマゾン予約の方はこちらから
🌟『ウイルスは存在しない』下巻
●アマゾン予約の方はこちらから
🌟『今こそ知るべき!ワクチンの真実』はこちらから
🌟現代人の必須の知識!
『現代医学と優生思想』講義はこちらから